
Koronavirüs salgınında vaka sayısı 19.8 milyonu geçerken, virüsü ve yol açtığı semptomları tanıma çalışmaları da sürüyor. The American Journal of Emergency Medicine’da yayınlanan makalede dört gün boyunca hıçkırık tutan bir adamda koronavirüs tespit edildiği belirtildi. Uzmanlar bunun “koronavirüsün yeni belirtisi” olabileceğini duyurdu.
Ateş, kuru öksürük, yorgunluk, boğaz ağrısı, ishal, tat alma ve koku alma kaybı ve baş ağrısı gibi semptomların olduğu corona virüsünde yeni bir semptom daha çıktığı öne sürüldü.
The American Journal of Emergency Medicine’de yayınlanan akademik makalede koronavirüsün yeni bir semptomunun öne çıkmış olabileceği kaydedildi.
“Birçok vaka semptom göstermeden ortaya çıkıyor”
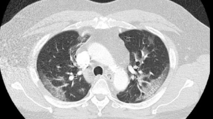
Chicago’da yaşayan hastanın 37.3 derece ateş ve hıçkırığı haricinde gözle görülür bir semptomu yoktu. Fakat yapılan tahlilde adamın ciğerlerinin kapasitesinin düşük olduğu ortaya çıktı.
Makalede, 62 yaşındaki Chicagolu bir adamın dört gün boyunca hıçkırdığı ve bunun aralıksız devam ettiği kaydedilirken, “Hiç semptom göstermiyordu ve ateşi ölçüldüğünde de 37.3 derece ateşi vardı. Fakat hastaneye kaldırılıp testler derinleşince durum ortaya çıktı. Corona virüsü testi pozitif çıktı ve ciğerlerinin kapasitesinin de düştüğü görüldü. Adamın ateşi de daha sonra 38.4’e çıktı” ifadesi kullanıldı.
Yaşananları dergiye aktaran Chicago’daki Cook County Hastanesi’ndeki doktorlar, “Günlerce geçmeyen hıçkırığı olan hastaları gözardı etmemek gerek. Doktorlar, Covid-19 hastalarında farklı semptomlara bakmalı çünkü birçok vaka semptom göstermeden ortaya çıkıyor” diye konuştu.








